口腔筋機能療法(MFT)の指導例
![]() |
ボタンプルボタンプルは、口唇閉鎖力(くちびるの力)を高めるためのトレーニングです。小さなボタン状の器具や専用トレーニング器具を前歯の前に置き、唇でしっかりと閉じて保持します。その状態で外側から軽く引っ張り、唇の筋肉で抵抗します。 目的・口唇閉鎖力の強化 口が常に開いている状態では、上顎の発育が十分に促されにくく、歯列狭窄の一因となることがあります。ボタンプルにより口周囲筋を安定させることで、鼻呼吸の習慣化をサポートします。 |
![]() |
舌伸ばし舌伸ばしは、舌の可動域とコントロールを改善するトレーニングです。舌を前方へまっすぐ突き出し、一定時間保持したり、上下左右に動かしたりします。舌の動きが弱い、あるいはコントロールが不十分な場合、嚥下(飲み込み)や発音に影響することがあります。 目的・舌筋の強化 舌が常に低い位置にある「低位舌」は、上顎の横方向の発育を妨げる可能性があります。舌の位置を正常化することは、上顎拡大後の安定にも重要です。 |
![]() |
ポッピングポッピングは、舌を上顎に正しく吸着させる練習です。舌全体を上顎に密着させた状態から、軽く音を立てて離す動作を繰り返します。舌の先端だけでなく、舌全体が口蓋に吸い付くように意識します。 目的・正しい舌の安静位の獲得 本来、舌は上顎に軽く接触した位置が安静位とされています。この状態が保たれることで、上顎の自然な発育が促されやすくなります。 |
小児矯正治療例
第1期治療
顎の成長発育を生かした治療を行えます。
乳歯
Nさん
Before

After

- 形態:咬合改善
- 機能:習癖の改善、咀嚼トレーニング、口腔周囲筋エクササイズ
- 期間や回数:
- 治療費:
- メリット:顎の正常な成長を促し、将来の抜歯や本格矯正のリスクを軽減します。正しい噛み合わせは全身の健やかな発育にも繋がります。
- リスクと副作用:お口周りの筋肉痛や疲労感が一時的に出ることがあります。また、毎日のトレーニングや癖の改善をご家庭で継続する必要があり、ご家族の協力が不可欠です。
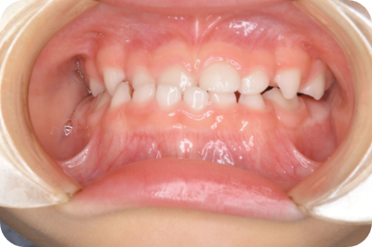
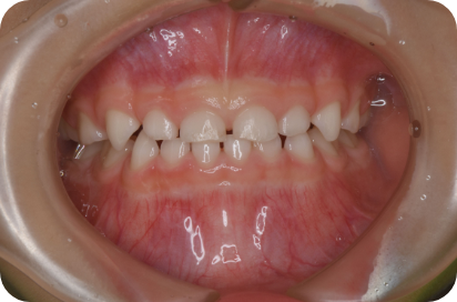
前歯が生え変わるころ
Hさん
Before

After

- 形態:
- 機能:
- 期間や回数:
- 治療費:
- メリット:
- リスクと副作用:
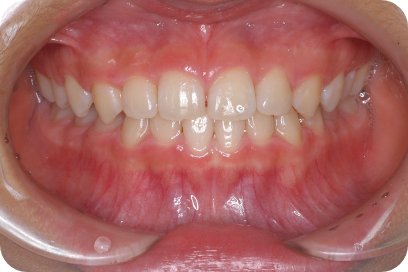
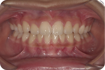
Sさん
Before

After

- 形態:
- 機能:
- 期間や回数:
- 治療費:
- メリット:
- リスクと副作用:
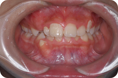
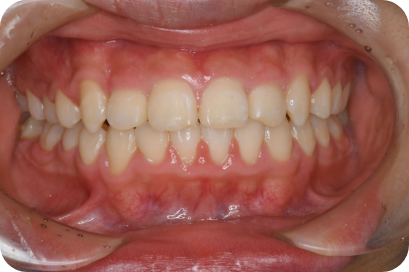
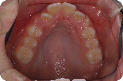
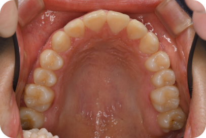
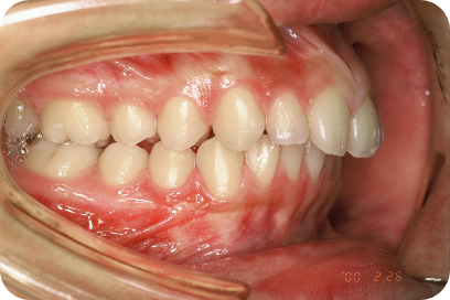
Tさん
Before

After

Before

After

- 形態:狭いV型の上顎を丸くて広いU型に改善、歯ならび、咬み合わせの改善
- 機能:咀嚼嚥下トレーニング、口腔周囲筋トレーニング、姿勢改善
- 期間や回数:
- 治療費:
- メリット:
- リスクと副作用:
背が伸びるころ
Nさん
Before

After

- 形態:
- 機能:
- 期間や回数:
- 治療費:
- メリット:
- リスクと副作用:
第2期治療
身体や顎の成長が終わり永久歯に交換してから全体の歯ならびと咬み合わせを整えます。
第一期治療を施していればほとんどが簡単な治療で終わることができます。
第二期からの治療(いわゆる大人の矯正)も行っています。
矯正治療を希望の方へ
個々によって適正な治療の時期は異なりますので、まずはご相談ください。



