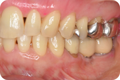
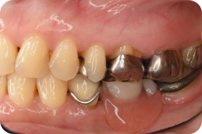
2025/12/10 / 最終更新日 : 2025/12/10 tom インプラント インプラント治療 – 金具のない自然な見た目で、しっかり咬める口元へ インプラントを用いた治療例 部分入れ歯の土手や金具を使わず、自然な見た目でしっかり咬めるようにする。 治療前後の比較 Before After 治療内容 インプラント治療 施術費用 通院回数 通院期間 メリット リスクと副作用