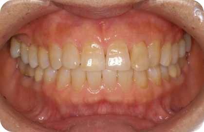
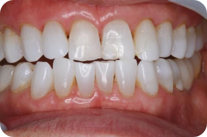
2025/12/10 / 最終更新日 : 2025/12/10 tom ホワイトニング ホワイトニング – オフィスとホームを併用したデュアルホワイトニング ホワイトニングの施術例 この症例はオフィスホワイトニングとホームホワイトニングを併用して行った症例です。 施術前後の比較 Before After 治療内容 ホワイトニング 施術費用 通院回数 通院期間 メリット リスクと副作用