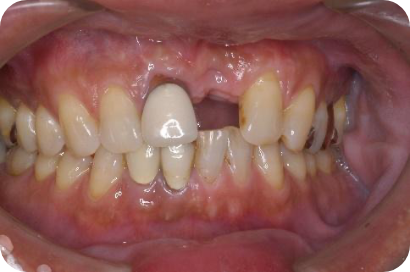
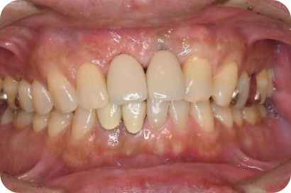
2025/12/10 / 最終更新日 : 2025/12/10 tom インプラント インプラント治療 – 失った歯の機能回復 インプラントを用いた治療例 周りの歯を傷つけずに失った歯を回復させる。 治療前後の比較 Before After 治療内容 インプラント治療 施術費用 通院回数 通院期間 メリット リスクと副作用