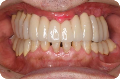
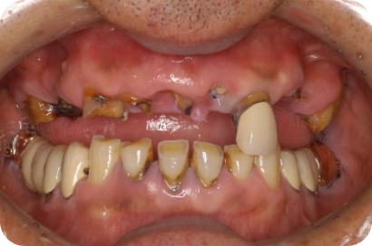
2025/12/10 / 最終更新日 : 2025/12/10 tom インプラント インプラント治療 – 複数本で安定した噛み心地を実現 インプラントを用いた治療例 複数のインプラントを使用し、固定式でしっかり咬めるようにする。 治療前後の比較 Before After 治療内容 インプラント治療 施術費用 通院回数 通院期間 メリット リスクと副作用